

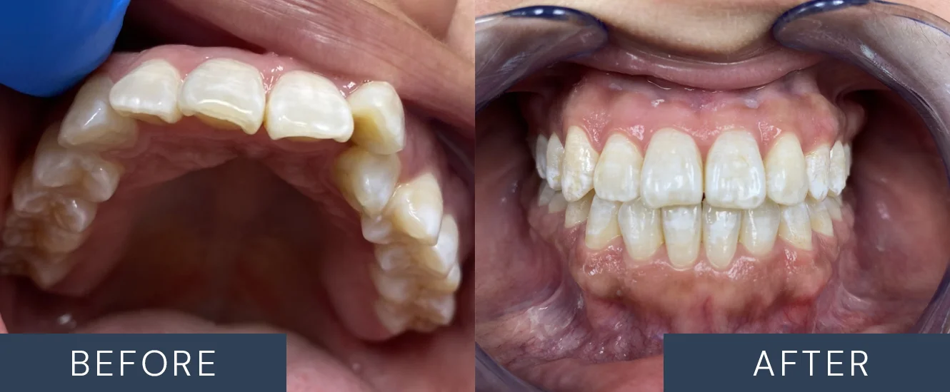
Clear Invisalign in Upland, CA
If you’ve ever wished for straighter teeth but didn’t want the look of braces, Invisalign in Upland, CA might be exactly what you’ve been hoping for. At Imaging Dentistry, we see patients every week who are relieved to learn they can improve their smile without metal wires or brackets. Dr. Vahan Grigoryan takes time to listen to what you want, answer your questions, and design a clear aligner plan that works for your lifestyle — not the other way around. Using our in-house iTero scanner, we capture precise digital scans so every aligner is made to fit comfortably and move your teeth exactly as planned.
What Is Invisalign?

We're A Preferred Invisalign Provider
Dr. Vahan Grigoryan is a preferred Invisalign provider!

How the Invisalign Process Works
We start with a friendly conversation and a close look at your smile. Dr. Vahan will use our iTero scanner to create a 3D model of your teeth, which lets us plan every step of your treatment before it even begins. You’ll get to preview how your smile will look at the end, which many patients say is the most exciting part. From there, you’ll wear each set of aligners as directed, visiting us periodically so we can check your progress and make sure you’re on track. If you have questions along the way — and most patients do — we’ll be here to answer them.

Benefits to Our Patients
-
Nearly invisible while worn
-
Removable for meals and cleaning
-
Smooth edges for comfort
-
No food restrictions
-
Digital scans instead of messy impressions
-
Predictable results with 3D treatment mapping
-
Easier brushing and flossing
-
A boost in confidence as your smile improves
You’re in Excellent Hands with Dr. Vahan
With over 24 years of dental experience, Dr. Vahan Grigoryan has helped patients throughout Upland and beyond achieve the smiles they’ve always wanted. He’s known for his approachable style, clear explanations, and patience in making sure every question is answered. Our bilingual team creates a welcoming environment for every visit, and our technology — from the iTero scanner to Cone Beam 3D imaging — helps us deliver results that are both precise and comfortable.
Dr. Vahan Grigoryan
Dr. Grigoryan has made a career out of restoring and transforming smiles and patient lives with cosmetic dentistry. Book a smile consultation below:

Why Choose Invisalign in Upland, CA?
At Imaging Dentistry, we treat every Invisalign case as a custom project. Our metal-free and mercury-free philosophy reflects our commitment to your long-term oral health as well as your smile’s appearance. Many of our patients come to us through word of mouth because they’ve seen the results we’ve created for friends or family. When you choose us, you’re getting more than clear aligners — you’re getting a trusted team that’s invested in your confidence and your care.
Frequently Asked Question
How long does Invisalign take?
It varies, but most cases take between 12 and 18 months. We’ll give you a clear timeline before you begin.
Will I need to wear retainers afterward?
Yes. Retainers keep your teeth in their new positions and protect your investment in your smile
Can Invisalign fix all alignment problems?
It’s effective for many mild to moderate cases. In your consultation, Dr. Vahan will let you know if it’s the right choice for you.
Can Invisalign correct bite issues?
Yes, Invisalign is effective in correcting various bite issues including overbite, underbite, crossbite, and open bite. Our dentists at Imaging Dentistry in Upland will evaluate your case to determine if Invisalign is suitable for your specific bite concern.
Will Invisalign make my teeth sore?
Yes, but for most people it is not severe and last for 2-3 days after each change of their invisible aligners.
See Your Future Smile
If you’ve been thinking about straightening your teeth, schedule a consultation for Invisalign in Upland, CA at Imaging Dentistry. We’ll show you what’s possible and guide you every step of the way until you get the smile you’ve been dreaming of.